文章来源:中国农业科学院 作者:帅磊 李呈军
近日,中国农业科学院哈尔滨兽医研究所步志高团队联合厦门大学公共卫生学院及国家兽用药品工程技术研究中心,揭示了新冠病毒由水貂向人传播的机理,为水貂新冠病毒防控提供了重要指导,证明有希望通过疫苗免疫阻断新冠病毒在水貂的流行传播,为新冠病毒感染和致病机制研究、疫苗和药物研发提供更加理想的新型动物感染模型。相关研究成果在线发表在《国家科学评论(National Science Review)》上。
据步志高研究员介绍,新冠肺炎在全球持续流行,不断危害人类生命健康。水貂作为经济动物在全球广泛饲养。目前,欧洲和北美养殖场水貂发生新冠病毒感染,已出现水貂将新冠病毒传播给人类的个案,近2千万只水貂被扑杀,给欧美水貂产业带来毁灭性打击,对我国的水貂产业也构成严重威胁。因此,迫切需要开展水貂新冠病毒的感染性、致病性和传播性的系统实验研究,为防控水貂新冠病毒提供理论依据,为尽快研发安全、有效疫苗,阻断新冠病毒在水貂的传播奠定基础。
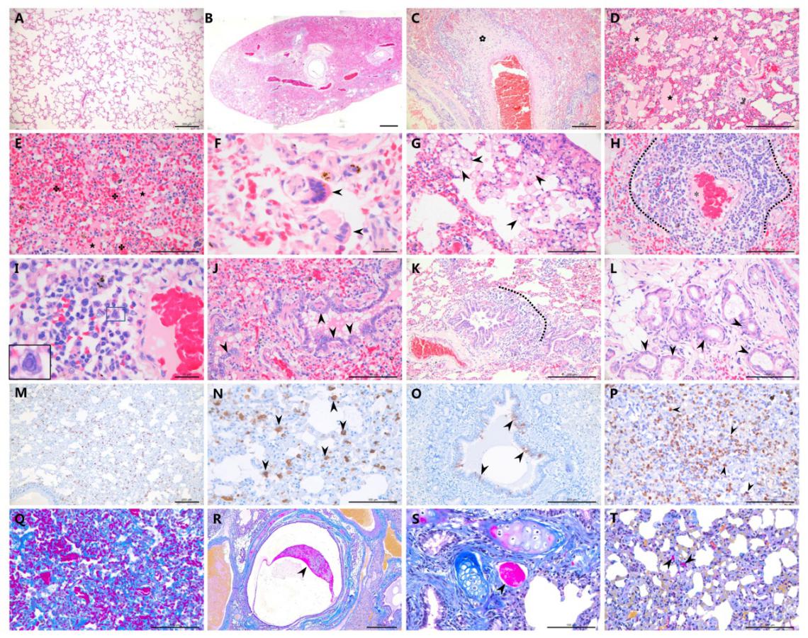
研究人员发现新冠病毒在水貂呼吸道和肺脏高效复制,通过呼吸飞沫高效传播,引起与人类新冠肺炎重症高度相似病理损伤;同时证明,重组SARS-CoV-2 S蛋白疫苗接种水貂能有效抑制新冠病毒在呼吸系统的复制,成功预防肺部严重病理损伤发生。该研究认为水貂是最能模拟人感染新冠病毒的动物模型,同时为因新冠疫情而遭受毁灭性打击的欧美水貂产业以及我国水貂产业提供重要的防疫科技支撑。
原文链接:https://academic.oup.com/nsr/advance-article/doi/10.1093/nsr/nwaa291/6027464?searchresult="1#

水貂感染新冠病毒后肺脏呈现了与新冠肺炎死亡病人肺脏高度相似病理变化