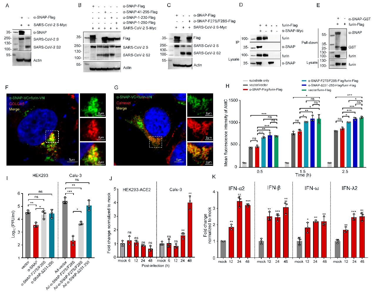
近日,中国农业科学院哈尔滨兽医研究所重要人兽共患病与烈性外来病团队揭示,可溶性N-乙基马来酰亚胺敏感性因子附着蛋白α(α-SANP)表达受干扰素调控,其表达上调可抑制细胞弗林蛋白酶(furin)活性,影响新冠病毒(SARS-CoV-2)囊膜纤突蛋白(S)的切割,进而抑制SARS-CoV-2的感染。相关研究在线发表在美国微生物学会旗舰刊物《mBio》,被选为编辑推介论文(Editor’s Pick)。

SARS-CoV-2、中东呼吸综合征病毒(MERS-CoV)、埃博拉病毒、马尔堡病毒等多种重要病毒病原的囊膜蛋白在感染过程中依赖细胞furin切割加工成熟,进而获得感染性,因此furin是重要的抗病毒治疗潜在靶点,但细胞生理和感染情况下,furin酶活性的调节机制尚不十分清楚。该研究发现,α-SANP是一个新的干扰素刺激基因,在SARS-CoV-2感染过程表达上调,通过与furin的P结构域直接互作抑制其酶活性。α-SANP在经典的细胞囊泡转运过程发挥重要作用,本研究揭示了α-SNAP独立于囊泡转运的新功能,丰富了宿主针对病毒感染的防御机制,为SARS-CoV-2等病毒病的治疗提供了新的靶向。
王金良副研究员和博士研究生罗杰为论文共同第一作者,步志高研究员为通讯作者。该研究得到国家重点研发项目资助(2018YFC1200601,2020YFC0846500)。
原文链接:https://journals.asm.org/doi/10.1128/mbio.02443-21