哺乳动物及禽类中一直有不同的冠状病毒流行,但这些冠状病毒大多仅限于感染特定种属动物,一般不能感染人类。同样,人间常见的几种冠状病毒也不感染其他动物。但是,来自蝙蝠的某些冠状病毒,如SARS和中东呼吸综合征(MERS)病毒,往往可以感染多种动物和人类。SARS-CoV-2目前在全球大范围的人群中流行,传入与人类密切接触动物的风险与日俱增。因此,迫切需要开展与人密切接触家养动物对SARS-CoV-2的易感性研究,评估家养动物是否面临SARS-CoV-2危害并成为潜在中间宿主的风险,为防控SARS-CoV-2提供科学依据。鉴于目前COVID-19全球流行情况,其演变为常在传染病的可能性很大,急需建立稳定、可靠的动物感染模型,满足疫苗和药物研发评价需求。
依托国家动物疫病防控高级别实验室(P4实验室)和兽医生物技术国家重点实验室,中国农业科学院哈尔滨兽医研究所步志高研究员团队、陈化兰院士团队和中国CDC病毒病预防控制所武桂珍研究员、谭文杰研究员等,系统研究了与人密切接触的犬、猫、猪、鸡、鸭等常见宠物、家畜禽及模式实验动物雪貂对SARS-CoV-2的易感性。通过实验感染SARS-CoV-2,观测接种动物及同居动物的临床表现及病理变化,检测器官组织病毒载量、呼吸道和肠道病毒排放及动物体内针对SARS-CoV-2病毒抗体转阳情况。
结果发现,SARS-CoV-2 在犬、猪、鸡和鸭复制能力很弱,但能在雪貂上呼吸道和猫的呼吸系统及消化系统高效复制。实验感染猫能够通过空气传播SARS-CoV-2;部分猫感染后可导致严重发病甚至死亡,低龄猫发病明显较大龄猫严重。组织病理学观察证实,病毒感染猫可引起不同程度的肺脏炎症与肠道粘膜损伤;免疫组化研究发现上呼吸道(鼻腔、上颚、扁桃体)粘膜上皮及嗅球细胞、气管及支气管粘膜黏液腺上皮细胞、小肠粘膜上皮等部位存在大量病毒感染(图)。
研究结果表明,雪貂可用作SARS-CoV-2疫苗和药物评价动物模型;犬、猪、鸡和鸭对SARS-CoV-2不易感,对病毒宿主溯源具有重要指导意义;更重要的是猫对SARS-CoV-2高度易感,该研究呼吁密切监测和保护疫区的猫,避免其接触传染源,防止其成为可能的传播宿主或储存宿主。
这项研究得到了科技部国家重点研发计划及应急专项2020YFC0846500、2018YFC1200601、2016YFD0500301等项目支持。相关结果于2020年4月8日在《科学》杂志上在线发表。
论文链接:https://science.sciencemag.org/content/sci/early/2020/04/07/science.abb7015.full.pdf

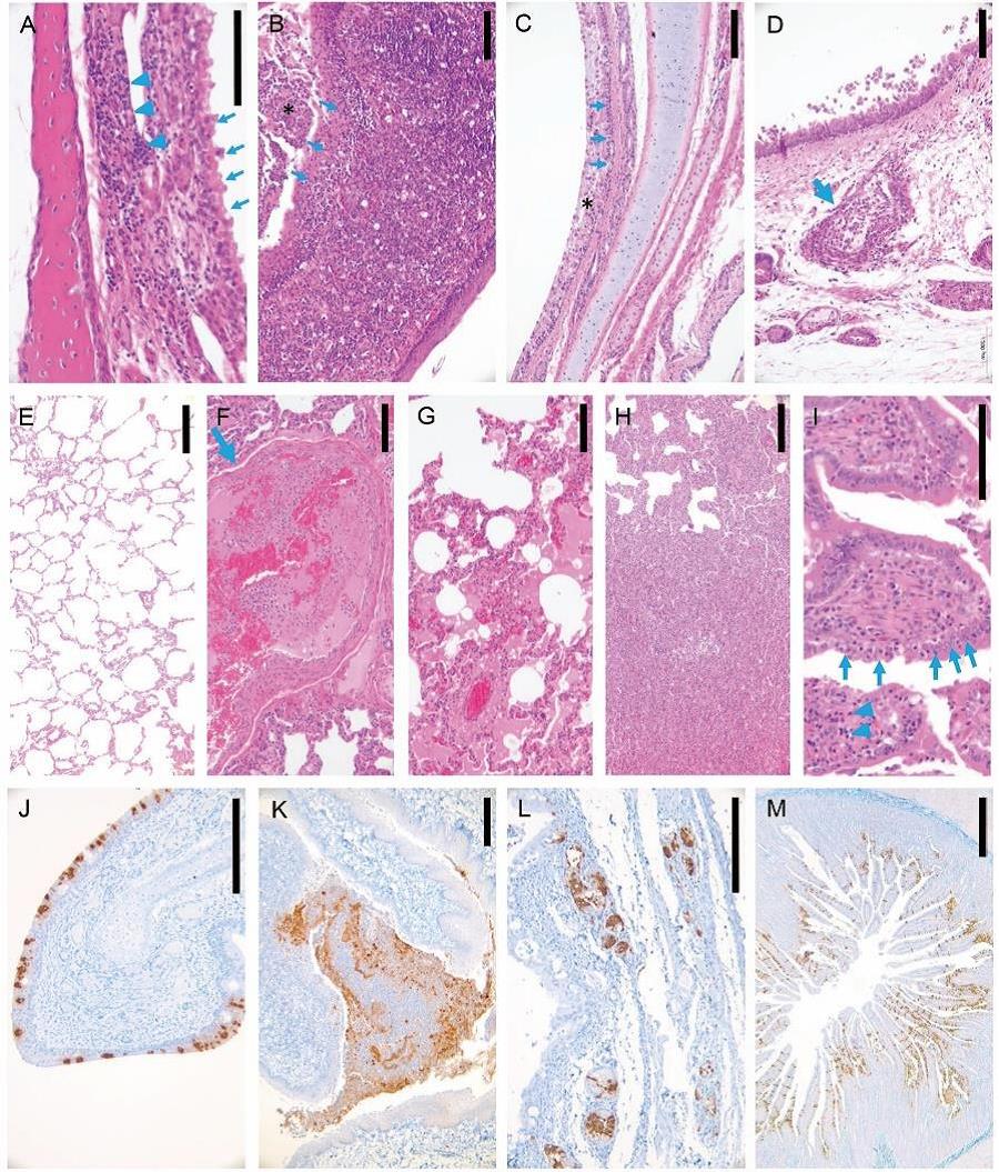
图. SARS-CoV-2在感染猫呼吸系统及消化系统高效复制,引起病理损伤和炎症反应
病毒感染后3天病死或安乐死猫组织病理学及免疫组化研究。(A)鼻粘膜上皮排列紊乱,纤毛脱落 (箭头), 固有层淋巴细胞侵润(箭头)。(B) 扁桃体上皮细胞变性、坏死,粘膜上皮(星号)表面覆盖细胞碎片及中性粒细胞(箭)。(C)气管粘膜上皮变性、坏死(箭),表面覆盖混有大量细胞碎片的黏液(星号)。(D)气管黏液腺上皮坏死,淋巴细胞侵润(箭)。(E)未感染病毒猫肺正常组织结构。(F)肺血管内炎症细胞聚集,纤维蛋白凝结形成(箭)。(G)肺泡内即肺泡间隔大量巨噬细胞及淋巴细胞侵润。(H)肺泡及肺泡间隔炎性侵润和增生。(I)小肠上皮部分细胞变性、坏死,固有层中等程度淋巴细胞侵润(箭)。 (J)鼻甲粘膜上皮细胞大量病毒抗原阳性(棕色)。(K)扁桃体粘膜上皮及粘膜表面脱落细胞大量病毒抗原阳性(棕色)。(L)气管黏液腺浆液细胞大量病毒抗原阳性(棕色)。(M)小肠粘膜上皮细胞大量病毒抗原阳性(棕色)。标尺线 A, I = 100 μm, B-H, J-L = 200 μm, M = 500 μm.