病理学实验室共有取得博士学位的研究人员6人,其中研究员1人,副研究员2人,助理研究员2人,博士后1人。病理技师2人。主要开展高质量常规病理组织切片,提供不同实验组的差异病变数据,分析病变差异的产生原因,为研究特定疾病的发生、发展及临床表现提供科学的理论依据。在开展的免疫组织化学方面,由于该技术具有定位准确、形态与功能相结合的特点,对疾病,尤其是对肿瘤的诊断、鉴别诊断及发病机制的研究提供了强有力的手段。实验室配备了美国Thermo的全套病理设备(全自动免疫组化仪、全自动脱水机、全自动染色机、全自动包埋机和全自动切片机)以及德国Intavis全自动原位杂交仪,德国Zeiss共聚焦成像系统和高通量切片扫描系统。同时承担多项国家及省、部级以上科研项目。共发表中、英文文章69篇,发表著作7部。
实验室负责人何希君研究员,在日本东京大学兽医病理学实验室学习和工作近10年。在宠物(犬猫)肿瘤病理学、传染病病理学、毒性病理学、神经病理学和实验病理学等多个领域积累了丰富的研究和实践经验。目前担任多家大学、研究院所和宠物连锁医院的病理学顾问。
(2) 组织病理学
本实验室由专业的全职病理技师开展技术工作。可以开展的项目包括:实验动物病理组织切片制作,组织切片常规染色(H&E染色),组织切片特殊染色和免疫组织化学染色。
病理组织学标本制作、染色和结果分析
特殊染色
胶原纤维、弹性纤维、网状纤维、多糖类、酸性粘多糖、淀粉样物质、软骨、中枢神经组织、核酸、脂质、色素、无机物、内分泌细胞、组织内白细胞、纤维蛋白、病原体(一般细菌、抗酸菌、幽门螺旋菌和真菌等)。

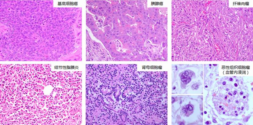
病理组织学诊断主要针对宠物(犬、猫等)开展此项诊断。根据需要进行常规组织学染色(H&E染色)、免疫组织化学染色和特殊染色等。范围:宠物(犬猫)活检取样组织、手术摘除组织、剖检取样组织等。
关于活检组织取材后的固定:
1. 需要检查的组织在采取后应迅速进行固定。
2. 固定液通常使用10%的福尔马林水溶液。甲醛:水 = 1:9(甲醛终浓度3.6-4.0%)。
3. 福尔马林的用量通常为采取组织体积的10-20倍。
4. 体积较大的组织需要适当地用刀切几个切口,便于充分固定。
5. 送检前的固定过程中如有条件可以轻度震荡或置于37°C温箱内。
6. 固定过程中不可放入冰箱或冰柜内。避免组织发生干燥、压迫或变形。
7. 送检组织尽可能大,能反应病变的全貌。